Dandy-Walker Malformasyonu (DWM)
DWM arka çukur denen kafatası içinde beyincik, beyin sapı ve dördüncü karıncığın yer aldığı boşluğun doğumsal kusurudur. Beyinciğin vermis denen orta kısmı ya hiç gelişmemiştir ya da çok az bir kısmı gelişmiştir. Dördüncü karıncık genişleyip kistik bir hal almıştır (Resim 1). Bu kistik genişleme beyin omurilik sıvısının (BOS) dördüncü karıncığı terk ettiği deliklerin kapalı olmasına bağlanmaktadır. Bu hastaların %90’ında hidrosefali bulunmaktadır ve %75-80’inde doğumdan sonra ilk 3 ayda hidrosefali mevcuttur. DWM 25000-30000 canlı doğumda 1 görülmektedir.

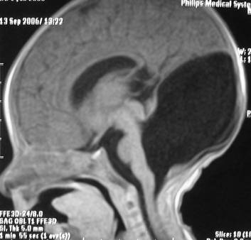
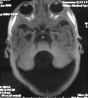
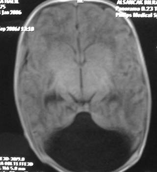
a b c
Resim 1: (a ve b)Yatay MR görüntülerinde beyinciğin orta kısmının (vermis) gelişmemiş olduğu ve dördüncü karıncığın genişlemiş olduğu, (c) yan MR görüntüsünde kistik dördüncü karıncık izlenmektedir.
Hamileliğin 6-8.haftalarında bu hastalığın geliştiği düşünülmektedir.
Dandy-Walker Varyantında ise beyinciğin orta bölümünde kısmi gelişme kusuru vardır ve beyincik arkasında kist bulunur.
Bazen DWM genetik hastalıklarla beraber görülmektedir. Hastalığın irsi olarak geçiş oranı %1-6’dır. Hastaların yaklaşık %70’inde başka beyin, beyincik oluşum kusurları da bulunmaktadır. Yaklaşık hastaların %50’sinde zeka geriliği görülmektedir. Yine hastaların 1/3’ünde sinir sistemi dışında yarık dudak-damak, kalp, böbrek ve idrar yolu oluşum hataları, yüzde şekil bozuklukları, yapışık parmak veya fazla parmak gibi kusurlar saptanmaktadır (Resim 2).

a b
Resim 2: Dandy-Walker Malformasyonu olan bir bebekte (a) elde ve (b) ayakta 6 parmak izlenmektedir.
Tanı anne karnında doğum öncesinde ültrason veya MR ile konabilir (Resim 3). Tüm hastalarda mümkün olduğunda MR çekilip diğer bozukluklar da araştırılmalıdır. Tedavi hidrosefali gelişirse söz konusudur. Şant ameliyatı ve endoskopik ameliyat uygulanmaktadır (Resim 4).

Resim 3: gebeliğin 25. haftasında çekilen MR’ da anne karnındaki bebekte Dandy-Walker malformasyonu görülmektedir.

Resim 4: Endoskopik üçüncü ventrikülostomi uygulanmış bir hastanın MR’ında 3. karıncık tabanında açılmış olan pencereden BOS akımı (ok) görülmektedir.