Araknoid Kistler
Araknoid Kistler
Beyin ve omuriliğin etrafını çeviren ince zara araknoid zar denmektedir. Mikroskopta bu zar örümcek ağına benzediğinden Eski Yunanca’da örümceğe benzer anlamına gelen araknoid zar adı verilmiştir. Araknoid zarın bulunduğu her yerde araknoid kistler gelişebilir. Genellikle 20 yaş öncesinde belirti verirler ve erkeklerde kızlara göre 2-3 kez daha fazla görülür. Avrupa’da yapılan ortak bir araştırmada ise belitlilerin ortaya çıkma yaşı ortalama olarak 6 bulunmuştur. Kafa içi yer kaplayan oluşumların %1’ini araknoid kistler oluşturur. Otopsilerde ise bu oran 1/1000dir.
Araknoid kistler ne zaman ve nasıl oluşur?
Araknoid kistlerin büyük çoğunluğu doğumsaldır. Diğer bir deyişle doğumdan önce anne karnında araknoid zarın ikiye ayrılması sonucu bu bölgede içinde sıvı birikmesi ile oluşur. Anne karnında hamileliğin 15. haftasında araknoid zar altında beyin omurilik sıvısı (BOS) dolaşmaya başlar. Bu süreçten itibaren araknoid kist gelişme olasılığı vardır. Daha az oranda ise kafa travması (kaza, düşme sonucu) sonrası ve beyin iltihabi hastalıklarından sonra da geliştiği bilinmektedir. Araknoid kistler beyinde araknoid zarın bulunduğu her yerde gelişebilir (Tablo 1). Günümüzde tanıları bilgisayarlı tomografi (BT) veya manyetik rezonans görüntüleme (MRG) konmaktadır.
|
Tablo 1: Kafa içinde araknoid kistlerin yerleşimleri.
|
|
Yerleşim yeri
|
(%)
|
|
Temporal (şakak) bölgesi
|
30-50
|
|
Suprasellar
|
9-15
|
|
Kuadrigeminal
|
5-10
|
|
Beyin sapı-beyincik bileşkesi
|
10-15
|
|
Beyincik arkası
|
10
|
|
Beyin yarı-küreleri arası
|
8
|
|
Beyin yüzeyi
|
10-15
|
Kafa içinde hangi bölgelerde araknoid kist yerleşir?
* Temporal (şakak) bölgesi araknoid kistler
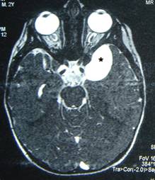
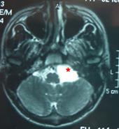
Kafa içindeki araknoid kistlerin yaklaşık yarısı beyinin şakak (temporal) bölgesinde görülür Bu bölgedeki araknoid kistler sağa oranla 3-4 kat daha fazla olmak üzere sol tarafta yerleşim gösterirler. İtalyan beyin cerrahı Galassi tarafından 3 tipe ayrılmışlardır. Tip I en küçük olanıdır ve beynin şakak bölgesinin ön kısmında iğ şeklindedir (Resim 1). Bu tiplerde genellikle herhangi bir tedavi gerekmez.

Resim 1: MRG’de şakak bölgesinde Tip I araknoid kist (*).
Dikdörtgen şeklindeki kistler de Tip II olarak sınıflandırılmıştır (Resim 2). Bu tip kistlerde tedavi yöntemi cerrahi girişimdir. Tip III kist ise en büyük olanıdır. Kist şakak bölgesinden

Resim 2: MRG’de beynin şakak bölgesinde beyin şakak bölümünü geriye doğru iten Tip II araknoid kist görülmektedir.
beyinin üst kısmına doğru yayılım görülür. Beyin orta hat yapılarında karşı tarafa doğru itilmelere neden olur (Resim 3).

Resim 3: BT de Tip III temporal araknoid kist ve beynin orta hattaki yapılarında karşı tarafa itilme izlenmektedir.
Bu kistlerde baş ağrısı, sara (epilepsi) en sık görülen yakınmalardır. Bazen de hiçbir yakınmaya neden olmamakla birlikte başka nedenlerle çekilen BT veya MRG’lerde saptanırlar. Tip I de çok nadiren cerrahi girişim gerekirken, yakınların bulunduğu Tip II ve III araknoid kistlerde ameliyat yapılmalıdır. Travmalardan (düşme, darp veya trafik kazası sonucu) kist içine veya beyin ile beyinin kalın (dura mater) zarı arasında kanamalar oluşabilir.
Tedavide kesin bir yöntemin üstünlüğü kanıtlanmamıştır. Genel olarak 3 tür cerrahi yöntem uygulanır:
- Kistin şantlanması
- Açık ameliyat ile mikroskop kullanarak kistin beyinin alt bölümündeki BOS yolları ile ağızlaştırılması
- Endoskop ile kistin beyinin alt bölümündeki BOS yolları ile ağızlaştırılması
Genellikle kist içine takılan şant kist içindeki sıvıyı karın boşluğu içine boşlamasını ve oradan da tekrar kana karışmasını sağlar (Resim 4). Şant hemen hemen ömür boyu kalacaktır ve bu nedenle beyin karıncıklarına takılan şantlarda olduğu gibi tıkanma, enfeksiyon, kopma ve kırılma gibi aksilikler ortaya çıkabilir. Ameliyat olarak riski çok az olmasına karşın şantın uzun dönemde riskleri fazladır.

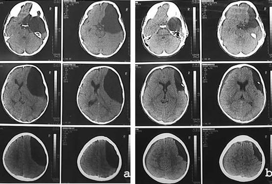
Resim 4: şant sonrası araknoid kistin kaybolduğunu gösteren BT.
Kafatasının açılıp, ameliyat mikroskobu ile beyin tabanındaki normal BOS yolları ile kist arasında pencereler açılması bir diğer yöntemdir. Böylece kist içindeki basınçlı sıvı açılan pencerelerden normal BOS yollarına karışarak sonunda emileceği yere ulaşır. Kistler şant sonrasında olduğu gibi hemen küçülmezler. Daha uzun sürede bir derece küçülür fakat içinde basınçlı sıvı bulunmaz. Aynı işlem endoskop kullanılarak kafatasında sadece bir delikten yapılabilir. Endoskopik ameliyatta ise cilt kesisi 2-3 cm.dir. endoskopik girişim için özel eğitim ve deneyim gereklidir.

Resim 4: (a) Şant ameliyatı öncesi tip III şakak bölgesi araknoid kistin BTsi,
(b) şant ameliyatı sonrası kistin küçüldüğü görülmektedir.
Bu bölgedeki kistlerde açık cerrahi uygulanan hastaların yaklaşık 1/4’ünde yine şanta gereksinim duyulmaktadır.
* Suprasellar araknoid kist
Sella kafatasının tam ortasında yer alan ve Türk atlarında kullanılan eğere benzediği için sella turcica (Türk eğeri) adı verilmiş olan bir çukurcuktur. İçinde hormon salgılamaya yarayan hipofiz bezi bulunur. Suprasellar bu yapının üzerinde anlamına gelir. Suprasellar araknoid kistler beynin ortasında sellanın üzerindeki araknoid zarın ikiye ayrılması sonucu kist halini alıp yukarı üçüncü karıncığa doğru büyümesi ile kendini belli ederler. Bu kistler üçüncü karıncığı doldurup yan karıncıkla ilişkiyi sağlayan delikleri (foramen Monro) kapatıp her iki yan karıncığın genişlemesine yol açalar. Bu kistlerin belirti ve bulguları sebep oldukları hidrosefaliye bağlıdır. Bebeklerde hidrosefalide görülen baç çevresinde büyüklük, bıngıldağın geniş ve kabarık olması, gelişim geriliği gibi bulgulara neden olurken büyük çocuklarda ise baş ağrısı, dengesizlik ana yakınmalardır. Bazen çocuklarda yarattıkları hormonal bozukluklar ile erken ergenlik görülebilir.
Tedavisi cerrahi girişimdir. Kistin şantlanması (Resim 5), her iki yan karıncığın şantlanması ve açık cerrahi denenmiş yöntemlerdir. Kistin şantlanması körlemesine bir yöntem olduğundan kolay olmayıp her zaman kistin içine girmek kolay değildir. Açık cerrahide her

Resim 5: BTde şant ameliyatı uygulanmış suprasellar kist görüntüleri görülmektedir. (®) şant kateterini göstermektedir.
zaman başarılı sonuç elde etmek mümkün değildir ve büyük bir cerrahidir. Günümüzde suprasellar araknoid kistlerin tedavisinde ilk seçenek endoskopik girişim olmalıdır. Kafatasında küçük bir delikten endoskop ile girilerek kist karıncıklar ve BOS yolları ile ağızlaştırılır (Resim 6). Endoskopik girişimlerde başarı %90’ın üzerindedir. Başarısız olan olgularda şant cerrahisi yapılmalıdır. Tedavinin gecikmediği hastalarda sonuçlar iyidir ve hastalar normal yaşamlarına devam ederler.

Resim 6: (a) ve
(b) yatay ve dikey düzlemlerdeki MRG görüntülerinde üçüncü karıncığı dolduran ve yan karıncıkların genişlemesine neden olan suprasellar araknoid kistin ameliyat öncesi görüntüleri,
(c) ve
(d) endoskopik ameliyat sonrası kistin küçüldüğü ve yan karıncıklardaki genişlemenin azaldığı izlenmektedir.
Kuadrigeminal araknoid kistler
* Kuadrigeminal araknoid kistler
Kafa içinde araknoid zarın genişlediği, sisterna adı verilen ve Türkçe’de sarnıç anlamına gelen boşluklar bulunur. Üçüncü karıncığın arkasında ve beyinciğin üzerinde bulunan dört köşe sarnıca kuadrigeminal sisterna denir. Bu bölgede gelişen araknoid kistlere kuadrigeminal araknoid kist adı verilmektedir (Resim 7). Kuadrigeminal araknoid kistler su kanalına (aqueductus Sylvius)

Resim 7: MRG’de kuadrigeminal araknoid kist (
*) izlenmektedir. (
bs) beyin sapı, (
b) beyincik.
bası yaparak tıkanmasına ve dolayısıyla hidrosefaliye neden olurlar. Ayrıca beyin sapı ve beyinciği de bası etkileri vardır. Yakınma ve bulgular suprasellar araknoid kistlerdeki gibidir. Tedavileri şöyledir:
- Yan karıncıkların şantlanması
- Kist büyük ise kistin şantlanması
- Açık cerrahi ile kistin duvarlarının çıkarılması ve BOS yolları ile ağızlaştırılması
- Endoskop ile kistin karıncıklara ağızlaştırılması ve endoskopik üçüncü ventrikülostomi yapılmasıdır.
Endoskopik girişim günümüzde tercih edilen ilk tedavi yöntemidir. Ancak 6 aydan küçük bebeklerde endoskopik ameliyata rağmen hidrosefali devam edebilmekte ve şanta gereksinim duyulabilmektedir. Bebeklikte belirti veren kuadrigeminal araknoid kistler genellikle büyük olup çok ileri hidrosefaliye yol açarlar ve beyin dokusunda belirgin incelmeye neden olurlar. Bu bebeklerde tedaviye rağmen değişen derecelerde psikomotor gelişim geriliği görülebilmektedir.
* Beyin yüzeyindeki araknoid kistler
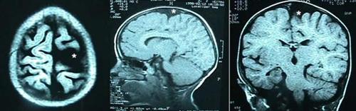
Daha nadir görülen bu kistler bulundukları bölgede beyin dokusunda basıya ve kemikte incelmeye neden olurlar (Resim 9). Baş ağrısı epilepsi (sara) nöbetleri, bası yerine göre kol ve bacaklarda kuvvetsizlik görülebilir. Tedavide açık cerrahi ile kist duvarının alınması söz konusudur.

Resim 9: Değişik düzlemlerde elde edilmiş MRG kesitlerinde beyin yüzeyinde yerleşim gösteren araknoid kist (
*).
* Arka çukur (posterior fossa) araknoid kistleri
Bu kistler beyin sapı-beyincik bileşkesinde (Resim 10), beyincik arka kısmında (Resim 11) veya dördüncü karıncık içinde (Resim 12) yerleşirler. Beyincik arkasındaki ve veya dördüncü karıncık içindeki kistler hidrosefaliye yol açarlar. beyin sapı-beyincik bileşkesindekiler ise burada bası yaptıkları organ ve kafa sinirlerine göre baş ağrısı, baş dönmesi, bulantı-kusma, yutma güçlüğü ve dengesizlik gibi yakınmalara neden olurlar.
Arka çukur yerleşimli araknoid kistlerin tedavilerinde çoğunlukla açık cerrahi ve şant uygulanmaktadır. Endoskopik ameliyatlarda sınırlı deneyimler bulunmaktadır.

Resim 10: beyin sapı-beyincik bileşkesinde araknoid kist (
*).

Resim 11: (a) BT’lerde ve
(b) dikey MRG kesitlerinde beyincik arkasında yerleşim gösteren araknoid kist.

Resim 12: (a ve
b) yatay ve dikey MRG kesitlerinde dördüncü karıncığı dolduran araknoid kistin ameliyat öncesi görüntüleri.
(c ve
d) aynı hastanın mikroskop ile kistinin çıkarılmasından sonraki görüntüleri.
* İki yarı-beyin küresi arasındaki (interhemisferik) araknoid kistler
Bunlar çok sık görülmez. Beraberinde beyinde bazı gelişim bozuklukları olabilir (Resim 13). En sık görülen gelişim bozukluğu heri iki beyin yarı-küresi arasındaki bilgilerin birbirine iletilmesine yarayan köprü organ korpus kallozumun gelişmemesidir. Şant ve açık cerrahi tedavi yöntemi olarak uygulanmaktadır. Karıncıklar ile kist arasında ince bir duvar var ise endoskopik olarak kist karıncığa ağızlaştırılabilir.

Resim 13: BT ve MRG kesitlerinde İki yarı-beyin küresi arasındaki (interhemisferik) araknoid kist izlenmektedir.
* Diğer yerleşim bölgelerindeki araknoid kistler
Karıncıklar içinde, beyin sapının önünde, beyin dokusu içinde araknoid kistlere rastlanabilir. Yakınma ve bulgular yerleşim bölgesine göre değişkenlik gösterir. Tedavi şeklide her hastaya göre hekim tarafından belirlenmelidir.