Şanta Bağlı Oluşabilecek Problemler Nelerdir?
Bütün mekanik cihazlar gibi şantlar da kusursuz değildir. Birçok değişik sebebe bağlı olarak zaman içinde çalışmayabilirler. Şantproblemlerini şu başlıklar etrafında sınıflandırabiliriz:
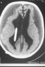
Mekanik sorunlar: Cihazın uygun çalışmasını engelleyen mekanik nedenlerdir. Beyin-omurilik sıvısının içindeki kimyasal maddeler ve beyin dokusu şantı tıkayabilirler. Şanttıkanması olduğunda, kafa içindeki fazla sıvı boşalamayacağı içi tıpkı hidrosefalideki gibi belirtiler görülmeye başlanır. Tıkanma şantın karıncığa takılan bölgesinde, pompa kısmında ya da uç kateter dediğimiz bölümde oluşabilir (Resim 6). Tıkanma nedeni yalnızca doku artıkları ve pıhtılaşmalar değildir; enfeksiyonlara da bağlı tıkanmalar oluşabilir.
Resim 6: (a) BT’de şantın beyin karıncıkları içindeki kateterin tıkanması sonucu yan karıncıkların genişlemesi görülmektedir, (b) yan karıncıktaki kateterin deliklerinin beyin dokusu tarafından tıkandığı görülmektedir.
Çocuk hastalarda şantın mekanik sorunlarının ikinci en sık sebebi şant kopması ve ayrılmasıdır. Bazen dokularda kimyasal tepkiye bağlı tüp yüzeyinde kireçlenmeler oluşur.
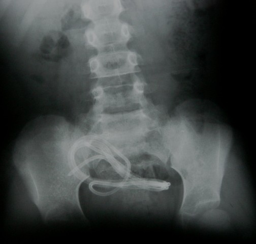
Migrasyon şant kateterinin bağlantı yerinden ayrılması ya da herhangi bir yerinde kopma veya kırılma sonucu yer değiştirmesidir. Sıklıkla karın boşluğuna giden peritoneal kateter kopma veya ayrılma sonucu karın boşluğu içine göç eder. (Resim 7). Yanlış yerleştirme, şant ameliyatından sonra grafi çekilmesi ile belirlenir.

Resim 7: Karın röntgen filminde peritoneal kateterin karın boşluğuna göç etmesi (migrasyon) görülmekte.
Cilt altında şant pompası etrafında veya şant tüpü etrafında beyin-omurilik sıvısı birikimi, genellikle şant tıkanmalarından dolayı görülür (Resim 8).

Resim 8: Şant tıkanmasında özellikle karın uç kısmındaki tıkanmalarda şant etrafında cilt altında BOS birikmesi.
Dinamik sorunlar
Aşırı drenaj (boşaltım) problemi olduğunda, hastalar özellikle ayakta iken şiddetlenen baş ağrısından şikâyetçidirler. Hasta yatar duruma geçince rahatlama görülür. Ameliyat öncesi beyin karıncıkları çok genişlemiş olanlarda veya büyük çocuklarda şant takıldıktan sonra fazla çalışması halinde beyin boşlukları küçülür kafatası fazla küçülemediğinden ve beyin ile beyin zarı arasındaki boşluk artar. Bu durumda beyin yüzeyinden beyin zarına uzanan köprü toplar damarlar yırtılabilir ve sonucunda beyin zarı ile beyin dokusu arasında kanlı sıvı toplanabilir (Resim 9). Şantın fazla çalışmasını engelleyecek önlemler alınmalı veya direnci daha fazla olan şant ile değiştirilmelidir.

Resim 9: Şant sonrası beyin karıncıklarının ani küçülmesi sonucunda beyin zarı ile beyin dokusu arasında kanama oluştuğunu gösteren BT.
Yine şantın aşırı çalışması sonucu beyin karıncıkları çok küçülür. BT ve MRG’de karıncıklar normalden çok küçük görülür bu görüntü nedeniyle yakınmaları olan hastalardaki bu duruma “slit ventrikül sendromu” denmektedir (Resim 10).. Bu sendromda hastalar dik durduklarında diğer bir değişle oturduklarında veya ayağa kalktıklarında şiddetli baş ağrıları olmaktadır. Bazen de karıncıklar küçülüp karıncık içindeki şant tüpünün deliklerini tıkayıp sıvının akmasını engellerler. Bu nedenle beyin içinde basınç artması meydana gelir ve baş ağrısı bulantı ve kusmaya neden olabilir. Hiçbir yakınma yok iken BT ve MRG’lerde karıncıkların çok küçük, bir çizgi halinde görülmesinin bir önemi yoktur.

Şantmekanik problemleri; ameliyattan hemen sonra olabileceği gibi, yıllar sonra da oluşabilir. Belirtiler ani ve ciddi olabileceği gibi, yavaş ve sinsi de olabilir.
Şantenfeksiyonu: Çoğu şant enfeksiyonu, şantın takılmasının ilk iki ayı içinde ortaya çıkar. Belirtiler enfeksiyonun bulunduğu yere bağlı olarak değişir. Yara enfeksiyonları genellikle ateş, şantın takıldığı alanda ya da şant yolu boyunca kızarıklık, iltihaplı akıntı ile görülür. Menenjit ya da şantın takıldığı karıncıkta enfeksiyonu olan hastalarda yüksek ateşe, baş ağrısı, huzursuzluk ve ense sertliği eşlik eder. Peritonit (karın zarının iltihaplanması) daha az sıklıkla görülür ve belirgin olarak ateş, iştahsızlık ya da kusma ve karında gerginlik ile kendini gösterir. VA şantlarda şant sistemi kan dolaşımı ile doğrudan ilişkili olduğundan, ateş yüksekliği, mikrobun kana karışıp yayılması daha sık görülür. Şant enfeksiyonu tanısı konduğunda veya kuşkulanıldığında şant çıkarılır. Kafa içindeki basıncı kontrol etmek ve enfeksiyonun seyrini izlemek amacıyla beyin karıncıklarına bir tüp yerleştirilir ve bu tüp içinden fazla miktardaki BOS kapalı bir sistemle dışarıya bir torba içine akıtılır. Bu sisteme eksternal ventriküler drenaj denir. Bu sistem aracılığı ile karıncıklar içindeki BOS’tan örnek alınıp enfeksiyon durumu hücre sayımı ve kültür ile takip edilir. Hastanın tedavisinde enfeksiyona neden olan mikroplara uygun antibiyotik tedavisi uygulanır. Enfeksiyonun düzelmesinden sonra tekrar yeni bir şant takılır.
|
TABLO 2: ŞANT ENFEKSİYONU BELİRTİLERİ
|
|
Şantyolu boyunca kızarıklık-şişme-akıntı
|
|
Ateş
|
|
Kusma, karın ağrısı
|
|
Sürekli huzursuzluk
|
|
Uykuya eğilim
|
|
Başağrısı
|
|
Nöbet
|
|
Dalgınlık, unutkanlık gibi davranış değişiklikleri
|
Şantenfeksiyonu olan hastalarda, şantın çıkarılması söz konusudur. Bu dönemde hastaya yeni şant takılana dek EVD (eksternal ventriküler drenaj) dediğimiz bir alet takılarak, beyin-omurilik sıvısın dışarıya akışı sağlanabilir ve antibiyotik tedavisi başlanır. Tüm bu işlemler için hastanın hastaneye yatışı yapılmalıdır.
Hidrosefalili bir çocuğun yaşamı boyunca kaç defa şant ameliyatı geçireceğini söylemek oldukça zordur. Bunun belli bir yaş dağılımı da yoktur.
Bu sebepledir ki; bizim amacımız siz aileleri şant problemleri olduğunda, belirtilerini fark etmeniz konusunda bilgilendirmek ve ortaya çıkabilecek daha büyük sorunları engellemektir.
Sonuç olarak; şantın mekanik yetmezliğe ve enfeksiyona bağlı çalışmadığı durumlarda görülen genel belirtiler :
|
TABLO 3: ŞANT KOMPLİKASYONLARINDAKİ (SORUNLARINDAKİ) BELİRTİLER
|
|
YENİDOĞAN |
OYUN ÇAĞI
|
DAHA İLERİ YAŞLARDA
|
|
Bıngıldakta şişkinlik
|
Kusma
|
Başağrısı
|
|
Kafa venlerinde(damarlarında) belirginlik
|
Şant yolu boyunca kızarıklık/şişkinlik
|
Kusma-bulantı
|
|
Şant yolu boyunca kızarıklık/şişkinlik
|
Genel halsizlik
|
Genel halsizlik
|
|
Kusma
|
Genel huzursuzluk
|
Genel huzursuzluk
|
|
Genel halsizlik
|
Nöbet geçirme(anormal kasılmalar)
|
Başın geriye doğru yay şeklinde çekilmesi
|
|
Genel huzursuzluk
|
Başağrısı
|
Ateş
|
|
Kafa büyümesi
|
Aktivitelerde azalma
|
Görme zorluğu
|
|
Gözlerde batan güneş manzarası
|
Kafa büyümesi
|
Kişilik değişiklikleri
|
| |
|
Algılama ve denge sağlamada azalma
|
| |
|
Şant yolu boyunca kızarıklık/şişkinlik
|
| |
|
Yürüme zorluğu
|
| |
|
Nöbet geçirme(anormal kasılmalar)
|
| |
|
İş/okul yaşamında gerileme
|